Call me back

We’re Accepting New Patients!

Read More Next

Looking for a caring and professional dental practice? We’re excited to welcome new patients to our clinic! Whether you’re due for a check-up, need treatment, or are looking to enhance your smile, our friendly team is here to help.
Contact us today to book your first appointment—we look forward to meeting you!

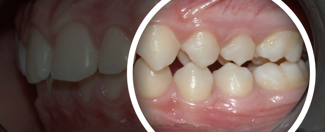
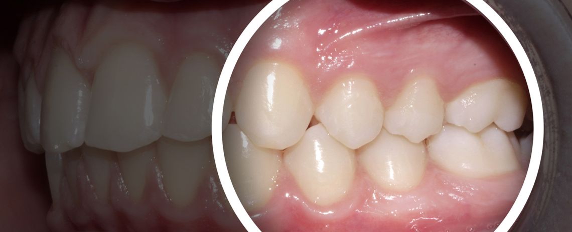
Clear aligners

Serving patients throughout Emsworth, Hayling Island and Havant

Clear aligners from Envisage Dental Emsworth comfortable straighten your smile with discretion, precision and ease.

Our clear aligner dentist, Stephen McCrory, will carefully map your treatment plan, developing a series of clear aligners to achieve your new beautiful smile. You’ll need to wear each aligner for 1-2 weeks before changing for the next, to slowly and precisely guide your teeth into position.

With this revolutionary system results can be achieved in as little as 3 - 6 months, depending on the complexity of movement required.

Benefits clear aligners from Envisage Dental Emsworth in Emsworth:

  • Removable
    Our clear aligners are removable, giving you the flexibility to remove them whilst eating and cleaning your teeth. It’s important to wear your aligners for the rest of the day and night however, in order to see the best results.
  • Comfortable
    Custom made aligners for the best comfort and personal fit.
  • Near invisible
    Our clear aligners are so discreet, it will be difficult to notice you are undergoing teeth straightening treatment.
Clear Aligners Video
Play
Clear Aligners Video
Play

3 simple steps to a beautifully aligned smile:

  1. Consultation and planning
    After an initial consultation Stephen will take photos, X-rays and a dental impression of your teeth. These records will take precise measurements to make your custom made clear aligners for the most comfortable fit.
  2. Transformation
    After your aligners have been custom made, Stephen will fit them ensuring they fit well and are comfortable, so you can begin your straightening journey.

    You’ll need to return to see Stephen every 4 to 6 weeks to check on your progress and provide your next set of aligners, to slowly guide your teeth into position.
  3. Retaining your new smile
    Once your new smile is achieved, you’ll need to wear a retainer to ensure your teeth remain beautifully aligned. Retainers can either be removable clear trays, similar to a mouth guard, or a fixed retainer which are discreetly attached to the back of the teeth for continual support.

If you are looking for clear aligners in Emsworth, Hayling Island and Havant and want to know more about your options, get in touch to arrange a consultation at Envisage Dental Emsworth.

Dentist

Stephen McCrory

Stephen graduated in 2010 from Queen’s University Belfast with a distinction in restorative dentistry. In the years since he has built up a wealth of experience working in several award- winning practices across Cornwall before relocating to the south coast in 2021. Coming to the dentist can be a stressful thing for a lot of people but Stephen goes above and beyond to ensure his patients have...

Stephen McCrory
Patient Reviews

People are talking about us

The biggest compliment we receive is when our patients refer their friends and family to Envisage Dental Emsworth. In fact, we have built much of our practice on these valued, trusted recommendations over the years. Read our reviews to hear why our patients are recommending us.

Leave a Google review

Patient reviews

1190 Reviews

5.0

8th March 2026

Easily scheduled. Polite, friendly hygeinist who asked about any problems with nervousness and teeth sensitivity before starting cleaning my teeth

A

aYa

Fantastic experience having a teeth clean with Tara! Can’t wait for my next treatment

8th March 2026

I went to see Tara for having my regular teeth cleaning, she is always good and keeps me informed what she is doing, I like Tara she is very good at her job and would highly recommend her.

JO

James Osborne

Had an amazing first visit to envisage today. I hadnt been to a dentist in over 10 years so was a bit apprehensive. From being greeted by the ladies at reception to meeting my new dentist I felt very well looked after. I felt my concerns were listened to, and didn't feel at all rushed. I received emergency treatment on the day and have a dental treatment plan going forward which was explained to me in depth. Costs were clear and very reasonable. Booking my next appointment was easy with flexible days and times to suit my schedule. They are also available to chat regarding any general enquiries via social media and WhatsApp which is very convenient when you work long days like myself. Overall, I am very impressed with all the staff at envisage. I would recommend envisage to anyone looking for a new dental practice, especially if you are a nervous patient. Thank you celethe and the amazing receptionists for your 5 star service!

7th March 2026

Everyone at Envisage deliver caring professional care, for a nervous pt they understand my fears and help elevate them

KR

K Robertson

My family and I have been patients at this practice for 16 years, and the consistently excellent care keeps us coming back. From the moment you walk through the door, the reception team set the tone — they are warm, welcoming, and always professional. They truly make every visit feel effortless. Stephen, my dentist, is exceptional. He takes the time to understand your full medical picture and explains every step of the treatment clearly and patiently. His thoroughness and calming approach give total confidence that you’re in the best hands. The hygienist, Tara, is equally fantastic. She has a lovely manner, instantly puts you at ease, and provides care that is both gentle and highly effective. The practice also offers flexible opening hours, which makes scheduling appointments incredibly convenient — and impressively, they always run on time. After 16 years, we couldn’t imagine going anywhere else. Highly recommended for anyone looking for first‑class dental care.

7th March 2026

Everyone is exceptional, so pleasant and professional, very patient and caring. Always take time to reassure any concerns and explain treatments.

TB

Thomas Barrett

Lovely team of specialist, highly recommend

4th March 2026

Feel they listen to my problems and understand my needs

RH

Russell Holmes

I recently changed to Envisage Dental after poor levels of service from my previous dentist in Emsworth. It was quite by chance my wife and I visited Envisage and booked our appointments. All I can say is what a contrast to the level of service previously experienced. In my case, my dentist (Stephen McCrory) took time and listened, then gave me a thorough examination and explained what treatment was necessary even to make good poor treatment. The key factor in my case was the thoroughness and time taken to explain so that I could clearly understand, as opposed to feeling rushed and just another patient. Another aspect is the updated technology and techniques, where photos of each tooth were taken to show you on screen. So, in summary, I have trust and faith in Stephen and his team and Envisage and I will be open and critical when necessary. I conclude I have made a good move in my case and I have respect and trust in the care and treatment I am receiving through Envisage. I highly recommend you give them consideration for your dental treatment.

4th March 2026

Arrived early for my appointment but was seen straight away as previous patient was a no show. New equipment in place and was explained very clearly by Tara who is always a lovely and positive young lady.

EM

Eleanor Martin

Lovely dental surgery, everyone is so happy to help and the dentists are so thorough and skilled.

28th February 2026

Tried a new treatment which is so much better

D

Deano

I’m not usually one to write reviews, but I felt like my fellow nervous patients deserved the truth: I survived. Stephen made me feel so comfortable that I didn’t need to be sedated for treatment. He’s calm and patient, as was his assistant and the receptionists. I would 100% recommend Stephen to anyone that fears the dentist and would like to overcome that fear.

LH

Lisa Holmes

As someone who isn't a lover of the dentist/hygienist, going to a new one is always a concern. However, even given I need treatment for a problem, the staff on the front desk and the dentist and hygienist seriously could not have been better. They make you feel welcome, try and make everything comfortable, offer music of choice which I think is brilliant, explain everything (and being told you're 2/3 of the way through a filling is actualy a really good thing, you know you're nearly done) and just try to make it as positive, fun and easy as possible. Would highly recommend to anyone

27th February 2026

Highly professional and calming environment and atmosphere. Reassuring and spotlessly clean.All staff are lovely. Never had any problems over 12 years.

DE

David Errickson

I have been a nervous patient for a long time, but here I’m well looked after. I’ve not felt rushed, everything that’s needed to be done has been explained really well and clearly. The staff are excellent and I highly recommend!

JM

Jane Moret

What can I say, as a very nervous patient the team here are amazing. I no longer get that dreaded feeling about going to the Dentist From the reception girls , the dental nurse Merci, my dentist Celehta and Tara my hygienist you give a fantastic service, thank you all so much

26th February 2026

Very friendly staff and excelent dentalp care.

CG

Claire Greenhouse

Our whole family have been attending this dental practice for around 15 years (maybe even longer!). They are amazing with everything from routine appointments with the dentist, dental hygienist appointments to dental procedures. They are excellent at dealing with anxious patients, including little ones. Our dentist is so knowledgeable, up to date and such a lovely person. The receptionists are lovely and always helpful. I recommend them to everyone I know, and I can't praise them highly enough. Thank you for looking after our family for all these years.

Prev Previous
Next Next