Call me back

We’re Accepting New Patients!

Read More Next

Looking for a caring and professional dental practice? We’re excited to welcome new patients to our clinic! Whether you’re due for a check-up, need treatment, or are looking to enhance your smile, our friendly team is here to help.
Contact us today to book your first appointment—we look forward to meeting you!

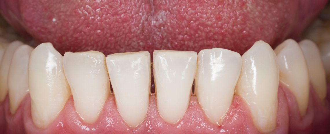
Dental hygiene

Our hygienist team at Envisage Dental Emsworth have extensive experience in maintaining the oral health of patients throughout Emsworth, Hayling Island and Havant and beyond. This can range from simple scaling and polish, to routine maintenance or more complex gum treatments.

We can help you design a bespoke oral hygiene plan to prevent recurring problems like staining, bad breath, gum disease, plaque build-up and more.

For patients undergoing dental implant treatment, our hygienists also help maintain your dental health from the beginning of implant treatment to the fitting of the final crowns and bridges.

Benefits of our hygienist care include:

  • Professional clean and tartar removal
    Plaque is a sticky bacterial coating that consistently forms on your teeth. If it is not brushed away properly, including difficult to reach areas like between the teeth, the plaque hardens to form tartar/calculus which cannot be removed so easily at home. Persistent plaque and calculus can lead to periodontal disease, causing bleeding gums, tooth mobility and eventually tooth loss.

    Your dental hygienist will perform an intensive clean on all accessible surfaces of the teeth to ensure any plaque and tartar build up is fully removed. If you have a lot of tooth decay, your hygienist may apply a fluoride gel to help protect the teeth from further attack.
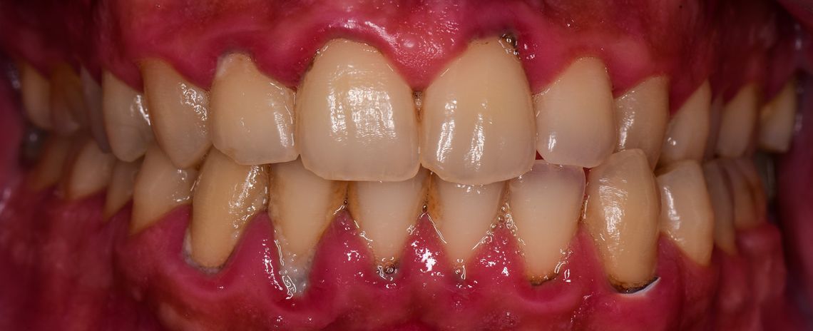
  • Stain removal
    Drinking tea, coffee, red wine or fizzy drinks will gradually stain your teeth over time. Your hygienist will be able to clean these stains away using natural products like baking soda for a whiter smile. Our hygienists also use the innovative AirFlow system which uses air, sodium bicarbonate and water together to clean stains from your teeth.
  • Fresh breath
    A clean mouth means fresher breath!
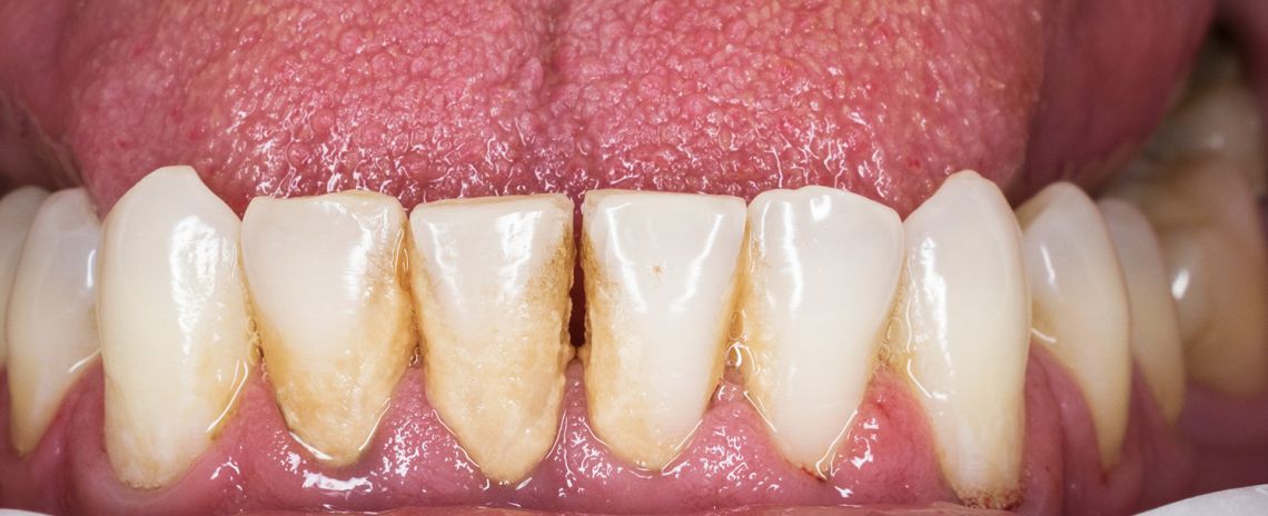
  • Prevention of gum disease
    Early signs of gum disease include bleeding gums when brushing. Your hygienist will test for this and if they spot symptoms. With regular appointments, they will be able to help deal with this before the disease has the chance to progress. They may use anti bacteria gel and solutions to apply under the gum line to kill any bacteria causing gum disease. It is important to pay attention to these symptoms as if left untreated, gum disease can lead to the movement or even the loss of teeth.
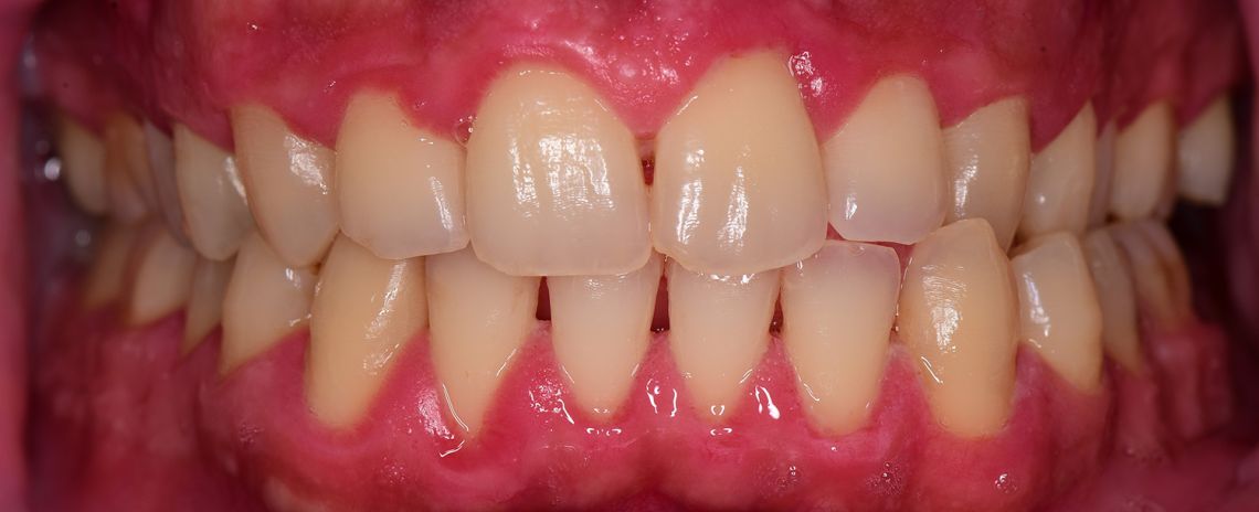
  • Oral hygiene plan
    We will work with your individual needs to create a tailor made plan for optimum maintenance of your oral hygiene. This includes recommending the right products, different types of brushes and showing you the most effective ways to use them.
  • Dietary advice and smoking cessation
    The food we eat can affect our teeth, this could be through staining or acid erosion. If your diet has had a detrimental effect on your teeth, our hygienists can advise on changing your eating habits to prevent further harm. Smoking is also a big factor in causing periodontal disease, bone loss, oral cancer, reducing healing after dental work and staining of teeth. Your dental hygienist can also offer smoking cessation advise if required.

We recommend all Envisage Dental Emsworth patients have regular hygiene treatments at least once to twice a year alongside your routine dental health reviews.

Meet the team

Celehte Fortuin

Dentist

GDC NO. 74757

Tara Docherty

Hygienist

GDC NO. 160710

Erika Cartland

Dental Hygienist and Therapist

GDC NO. 302968

Previous
Next
Patient Reviews

People are talking about us

The biggest compliment we receive is when our patients refer their friends and family to Envisage Dental Emsworth. In fact, we have built much of our practice on these valued, trusted recommendations over the years. Read our reviews to hear why our patients are recommending us.

Leave a Google review

Patient reviews

1193 Reviews

5.0

13th March 2026

Have been going for years - everyone is always so friendly and explaining everything well.

12th March 2026

I always find the whole team to be very friendly, knowledgeable and skilled.

12th March 2026

The staff are always very welcoming and professional. The Dentist always explains everything very well and offers lots of information. The hygienist also offers goid advice.

A

aYa

Fantastic experience having a teeth clean with Tara! Can’t wait for my next treatment

8th March 2026

Easily scheduled. Polite, friendly hygeinist who asked about any problems with nervousness and teeth sensitivity before starting cleaning my teeth

JO

James Osborne

Had an amazing first visit to envisage today. I hadnt been to a dentist in over 10 years so was a bit apprehensive. From being greeted by the ladies at reception to meeting my new dentist I felt very well looked after. I felt my concerns were listened to, and didn't feel at all rushed. I received emergency treatment on the day and have a dental treatment plan going forward which was explained to me in depth. Costs were clear and very reasonable. Booking my next appointment was easy with flexible days and times to suit my schedule. They are also available to chat regarding any general enquiries via social media and WhatsApp which is very convenient when you work long days like myself. Overall, I am very impressed with all the staff at envisage. I would recommend envisage to anyone looking for a new dental practice, especially if you are a nervous patient. Thank you celethe and the amazing receptionists for your 5 star service!

8th March 2026

I went to see Tara for having my regular teeth cleaning, she is always good and keeps me informed what she is doing, I like Tara she is very good at her job and would highly recommend her.

KR

K Robertson

My family and I have been patients at this practice for 16 years, and the consistently excellent care keeps us coming back. From the moment you walk through the door, the reception team set the tone — they are warm, welcoming, and always professional. They truly make every visit feel effortless. Stephen, my dentist, is exceptional. He takes the time to understand your full medical picture and explains every step of the treatment clearly and patiently. His thoroughness and calming approach give total confidence that you’re in the best hands. The hygienist, Tara, is equally fantastic. She has a lovely manner, instantly puts you at ease, and provides care that is both gentle and highly effective. The practice also offers flexible opening hours, which makes scheduling appointments incredibly convenient — and impressively, they always run on time. After 16 years, we couldn’t imagine going anywhere else. Highly recommended for anyone looking for first‑class dental care.

7th March 2026

Everyone at Envisage deliver caring professional care, for a nervous pt they understand my fears and help elevate them

TB

Thomas Barrett

Lovely team of specialist, highly recommend

7th March 2026

Everyone is exceptional, so pleasant and professional, very patient and caring. Always take time to reassure any concerns and explain treatments.

RH

Russell Holmes

I recently changed to Envisage Dental after poor levels of service from my previous dentist in Emsworth. It was quite by chance my wife and I visited Envisage and booked our appointments. All I can say is what a contrast to the level of service previously experienced. In my case, my dentist (Stephen McCrory) took time and listened, then gave me a thorough examination and explained what treatment was necessary even to make good poor treatment. The key factor in my case was the thoroughness and time taken to explain so that I could clearly understand, as opposed to feeling rushed and just another patient. Another aspect is the updated technology and techniques, where photos of each tooth were taken to show you on screen. So, in summary, I have trust and faith in Stephen and his team and Envisage and I will be open and critical when necessary. I conclude I have made a good move in my case and I have respect and trust in the care and treatment I am receiving through Envisage. I highly recommend you give them consideration for your dental treatment.

4th March 2026

Feel they listen to my problems and understand my needs

EM

Eleanor Martin

Lovely dental surgery, everyone is so happy to help and the dentists are so thorough and skilled.

4th March 2026

Arrived early for my appointment but was seen straight away as previous patient was a no show. New equipment in place and was explained very clearly by Tara who is always a lovely and positive young lady.

D

Deano

I’m not usually one to write reviews, but I felt like my fellow nervous patients deserved the truth: I survived. Stephen made me feel so comfortable that I didn’t need to be sedated for treatment. He’s calm and patient, as was his assistant and the receptionists. I would 100% recommend Stephen to anyone that fears the dentist and would like to overcome that fear.

28th February 2026

Tried a new treatment which is so much better

LH

Lisa Holmes

As someone who isn't a lover of the dentist/hygienist, going to a new one is always a concern. However, even given I need treatment for a problem, the staff on the front desk and the dentist and hygienist seriously could not have been better. They make you feel welcome, try and make everything comfortable, offer music of choice which I think is brilliant, explain everything (and being told you're 2/3 of the way through a filling is actualy a really good thing, you know you're nearly done) and just try to make it as positive, fun and easy as possible. Would highly recommend to anyone

DE

David Errickson

I have been a nervous patient for a long time, but here I’m well looked after. I’ve not felt rushed, everything that’s needed to be done has been explained really well and clearly. The staff are excellent and I highly recommend!

27th February 2026

Highly professional and calming environment and atmosphere. Reassuring and spotlessly clean.All staff are lovely. Never had any problems over 12 years.

Prev Previous
Next Next

Why choose us?

Air Purifier - Virus Killer

Air Purifier
- Virus Killer

Five Star Customer Service

Five Star
Customer Service

Nervous Patients

Nervous
Patients

Disabled Access

Disabled
Access

Leading Dental Care

Leading
Dental Care