
A quarter of kids aged 5-7 now have smartphones
I remember when I first got a mobile phone. It was around 1998 and I was 12. And with the likes of myspace and facebook not launching until early 2000s, we didn't have social media. We still had buttons and aerials on our mobiles and the highlight was purchasing a ringtone from an advert in the paper. But fast forward to now, and almost a quarter of kids aged 5-7 now have smartphones. The use of social media by kids in recent years has sky rocketed, according to Ofcom research.
Similarly, overall use of social media sites or apps among all 5-7s has increased year-on-year (30% to 38%), with WhatsApp (29% to 37%), TikTok (25% to 30%), and Instagram (14% to 22%) seeing particular growth among this age group. So what has this got to do with energy drinks?
Well, energy drinks have increased in popularity among teens and young adults, due to viral marketing on social media platforms like TikTok and Instagram. Brands like Spritz Society and Prime, are backed by celebrities and influencers, and have become household names, with older kids and teens flocking to purchase these drinks not just for the energy boost, but because their friends are drinking them. Lets not forget a few years ago when people were fighting in stores to get hold of sports drink 'prime'. Stocks of the drink in Aldi sold out in 'under a minute' in some stores.

The Role of Social Media in Promoting Energy Drinks
Social media plays a huge role in pushing energy drinks into the spotlight. Influencers and celebrities post about their favourite brands, often showing themselves drinking the products during workouts, high-energy events, or as part of their daily routines. (do they actually drink them?)
Platforms like TikTok, with its short, engaging videos, and Instagram, where influencers flaunt these drinks, have made energy drinks trendy and desirable.
Following new research about the impact of energy drinks on children, more than 40 health organisations including the British Dental Association (BDA) are making an urgent appeal to the government.
Published in Public Health on 15 Jan 2024, the paper brought together 57 studies of more than 1.2 million children globally. Researchers defined energy drinks as beverages containing high amounts of caffeine and sugar, potentially in combination with other stimulants.

Impact of energy drinks on children
The authors of the study identified several health-damaging behaviours more likely to present in children who drank energy drinks. For example, binge drinking, smoking and other substance abuse, and engaging in unsafe behaviours. There was also a correlation with poor lifestyle choices such as skipping meals and eating more fast food.
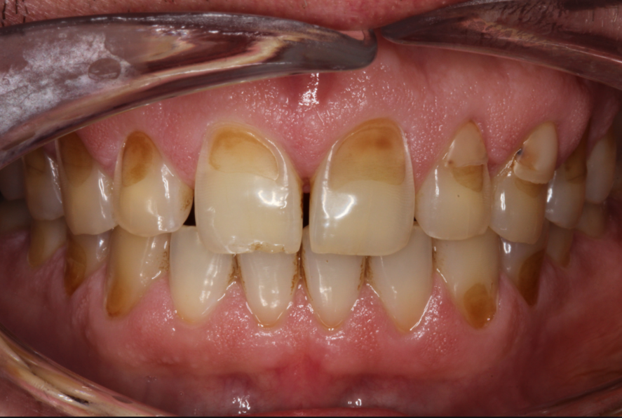
Energy drinks were also found to be detrimental to children’s health directly. Those who drank them were more likely so suffer from heart disease, allergies, insulin resistance and mental health problems. A significant impact on dental health was also identified. Children who consumed energy drinks were more likely to experience dental caries and erosive tooth wear.
Energy drinks can significantly harm children's dental health due to their high sugar content and acidity, leading to cavities and enamel erosion.

Key Effects on Dental Health
- High Sugar Content: Most energy drinks contain more sugar than soda, which provides a food source for cavity-causing bacteria. As these bacteria metabolize sugar, they produce acids that attack tooth enamel, increasing the risk of cavities.
- Acidity: Energy drinks have a very low pH, making them highly acidic. This acidity can erode tooth enamel, which is the protective outer layer of teeth. Studies indicate that energy drinks can be twice as damaging to enamel compared to sports drinks or coffee. The erosion of enamel makes teeth more sensitive and prone to decay.
- Caffeine and Dehydration: The caffeine in energy drinks acts as a diuretic, which can lead to dry mouth. Saliva is essential for neutralizing acids and washing away food particles; a lack of saliva increases the risk of cavities and gum disease.
- Staining: Some energy drinks contain ingredients that can stain teeth. The dark pigments in these beverages can seep into the enamel, leading to discoloration over time.
- Overall Health Risks: Beyond dental health, energy drinks can cause other health issues in children, such as insomnia, anxiety, and increased heart rate. The American Academy of Pediatrics advises against giving energy drinks to children and adolescents due to these risks.

Recommendations for Parents
Energy drinks may not have been very popular when I was a teen, with Red Bull only launching in the UK in 1994. So kids weren't really bothered whether you had an energy drink with your lunch. But there was bound to be some 'must have' back then. So how do parents tackle the need for energy drinks? How do we stop our kids feeling 'left out'
- Define Special Occasions: Limit energy drinks to events like weekend outings or family gatherings. Let the kids know that energy drinks are no longer an everyday drink, but they can still be part of celebrations. Stopping them altogether may cause them to rebel, and even though shops have introduced a ban on the sale of energy drinks to under 16s, some stores may look the other way.
- Swap out daily energy drinks: Try flavoured sparkling water or or infused water with fruits like strawberries and mint, or natural fruit juices. These still contain acid, but are a better option than energy drinks. Make sure healthier drinks are easily accessible, so grabbing an energy drink becomes a little less tempting.
- Create a New Ritual: Replace the energy drink habit with a new ritual, like having a family hydration challenge. Who can drink the most water each day? There are lots of colourful and fun water bottles for sale now, some holding up to 2 litres! Winner gets to pick the next family movie night film.

- Make It Fun: Create a family chart or sticker system to track your energy drink-free days. Every sticker is one step closer to healthier smiles!
- Lead by Example: Kids are more likely to embrace the change if they see you doing the same. Show them that you’re also making the effort and sticking to it.
- Stay Positive: Focus on the benefits—more energy, better sleep, and, of course, fewer cavities. Keep it light and remember that change takes time.
- Celebrate Milestones: If your family successfully cuts down, celebrate with a reward—like a family outing that doesn’t involve sugary or caffeinated drinks. It’s about making positive memories that don’t revolve around energy drinks
- Promote Good Oral Hygiene: Regular brushing and flossing can help mitigate some of the negative effects of sugary and acidic beverages.
- Regular Dental Check-ups: Ensure children have regular dental visits to monitor their oral health and address any issues early on. In conclusion, energy drinks pose significant risks to children's dental health, primarily due to their high sugar and acidity levels. Parents should be aware of these effects and encourage healthier beverage choices to protect their children's teeth.
If you're worried about your children's consumption of energy drinks, or the affects they may have had on their teeth, book them in to see one of our dentists today
Sources
https://www.bbc.co.uk/news/technology-68838029
https://www.teethtalkgirl.com/dental-health/are-energy-drinks-bad-for-your-teeth/
